Skip to main content

Tissue Contour Have Some Patience

· One min read
Dr. Daniel Gober
Diplomate American Board of Periodontology

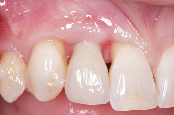
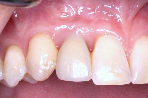
There are many factors that dictate the peri implant tissue contours and papilla fill.

Full Case Description

There are many factors that dictate the peri implant tissue contours and papilla fill. These include: bone levels, distance to the contact point, adequate tissue thickness, and a properly designed/contoured restoration. As long as these factors are present, we can be confident that the tissue will fill in the blanks. In this case, at the time of provisional crown placement, the soft tissue contours were lacking. But with a little bit of patience over the course of 8 weeks, we can observe how the tissue adapted itself around the restoration for a satisfactory result.