Skip to main content

Discover the Art of Regeneration

Congratulations! You've discovered the premier source for the highest quality regenerative products and education . Transform your practice today!

DALI Regen Discover The Art of Regeneration

Featured Products

Explore our wide selection of regenerative solutions.

Recent Cases

Get clinical tips with our case studies.

Tension - Relief for Primary Closure

Tension - Relief for Primary Closure

When performing extensive GBR, we want to insure the primary closure of the flap margins over the graft and membrane

DALI Flex Graft for Buccal Augmentation

DALI Flex Graft for Buccal Augmentation

This case demonstrates the use of DALI Flex Graft for augmentation following GBR at implant placement. During follow up, a residual lack of ridge contour was noticed and the Flex Graft was used instead of traditional particles.

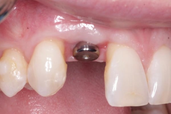
Tissue Contour: Have Some Patience

Tissue Contour: Have Some Patience

There are many factors that dictate the peri implant tissue contours and papilla fill. These include: bone levels, distance to the contact point, adequate tissue thickness, and a properly designed/contoured restoration.