Skip to main content

Suture Guide when using OsteoGen Plugs

note

Case courtesy of Tim Kosinski, DDS

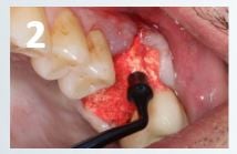
  • Following extraction, the large size OsteoGen® Plug is contoured to fill the three roots of the socket. Plug is delivered dry into a thoroughly debrided and actively bleeding socket. (Fig. 1)
  • The OsteoGen® Plug is condensed firmly into the socket. Enough material should be used and positioned above the crest (to the level of or slightly below the soft tissue). (Fig. 2)
  • Here a 3-0 Vicryl suture* with a 3/8 circle reverse cutting needle is used. Note the needle is placed on the crestal portion of the grafted area and perforates through the facial. This ensures that the graft is not engaged. (Fig. 3)
  • The needle is then reversed from the crest to the palatal tissue, again laying on top of the graft. (Fig. 4)
  • The interrupted suture is tied in a 2-2-1 motion. This insures that the knot will not loosen. (Fig. 5)
  • A second interrupted suture is placed in the same motion. (Fig. 6)
  • The two cross-linked sutures hold the OsteoGen® Plug in place. (Fig. 7)
  • A third suture should be placed to assure that the material can not displace. Note the band of attached gingiva on the facial aspect of the graft. (Fig. 8)
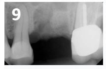
  • Immediate post-operative radiograph illustrates correct placement of the OsteoGen® Plug. The site will be allowed to integrate for approximately 4 months prior to dental implant placement. The site will show radiolucent on the day of placement and radiopaque as the graft is resorbed and replaced by bone.(Fig. 9)
info

Impladent, the manufacturer of Osteogen Plugs, recommends non-resorbable sutures, resorbable can be used if resorption time is at least 3 weeks.

Osteogen Suture Guide Images